

19
Sociedad Andaluza
de Angiología y Cirugía Vascular
SUPLEMENTO
caso clínico
Actual. Med.
2017; 102: (801). Supl. 19-36
Posteriormente, 2 meses tras la cirugía, se realiza TC toraco-
abdominopélvico de control en el cual se observan:
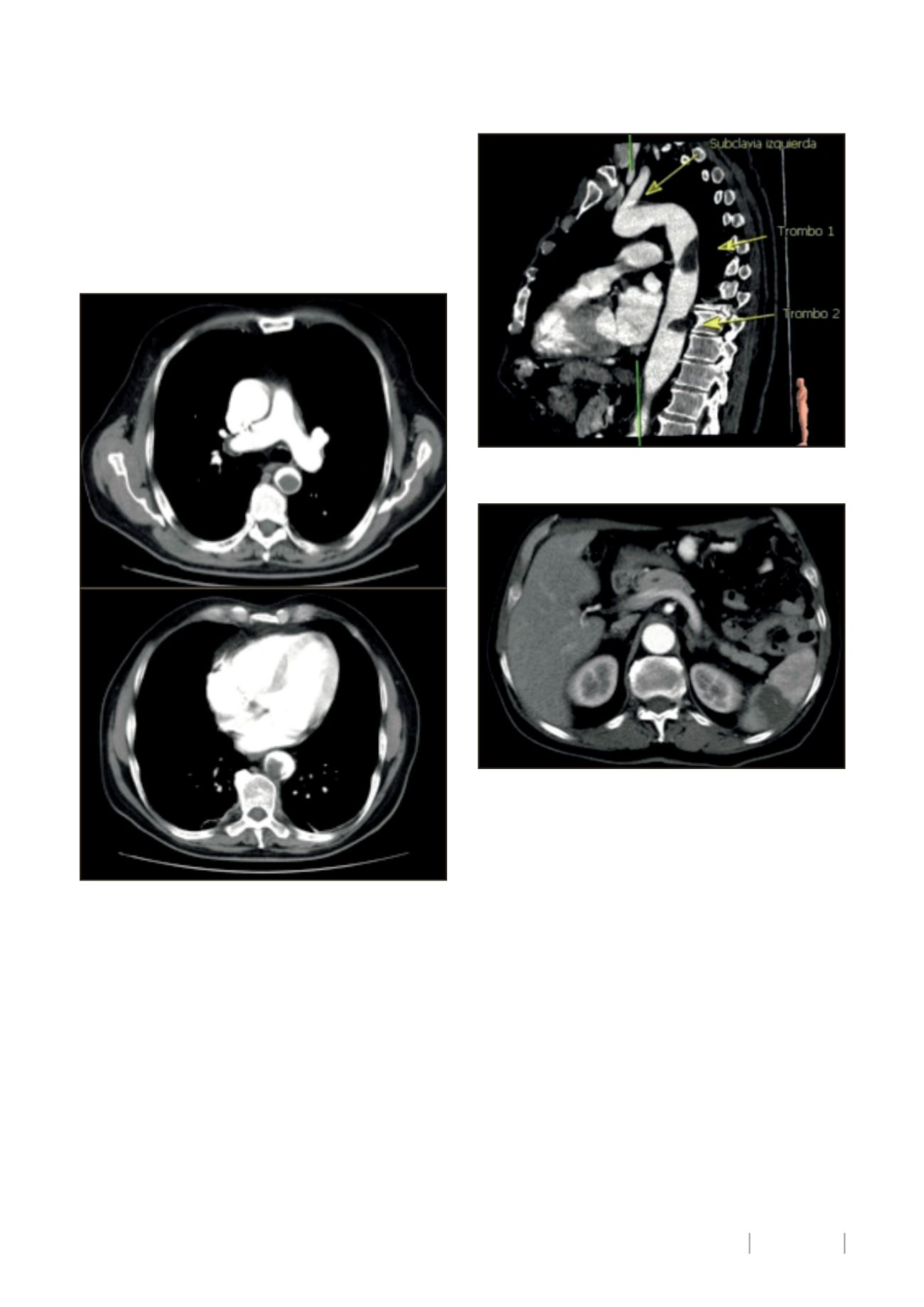
• 2 trombos flotantes en aorta torácica descendente
(4x2cm + 3x2cm)
(Imagen 1 y 2).
• 3 nódulos hepáticos compatibles con metástasis
(<1cm).
• Infarto esplénico amplio
(Imagen 3).
En base a estos hallazgos, se contacta con Angiología y Ciru-
gía Vascular, y se decide intervención quirúrgica para colocación de
endoprótesis de aorta torácica dada la buena calidad de vida del
paciente y la supervivencia estimada de >3 años. El procedimiento
cursó sin complicaciones, colocándose endoprótesis Zenith ALpha
34x34x209 a nivel de aorta torácica, enrasada en subclavia izquier-
da, mediante acceso femoral izquierdo y acceso braquial izquierdo
percutáneos. El paciente presentó una rápida recuperación, sin
aparición de ningún tipo de complicación postquirúrgica.
DISCUSIÓN
La trombosis aórtica pediculada es una entidad que, a pesar
de su baja frecuencia, puede ser potencialmente grave al deter-
minar la aparición de embolismos hacia ramas arteriales viscera-
les o periféricas. Su baja frecuencia sumada a su inespecífica sin-
tomatología, la convierten en una patología de difícil diagnóstico,
siendo en muchas ocasiones un hallazgo casual ante una prueba
de imagen por otra causa
1,2
.
A la hora de diagnosticarla, existe bastante concordancia
entre las propuestas de los estudios realizados. Hasta ahora, se
ha considerado como gold standard
la realización de un AngioTC,
dado que proporciona un estudio morfológico. No obstante, cada
vez se propone más la realización de una ecografía transesofá-
gica (ETE) como método de completar el diagnóstico e incluso
como nuevo gold standard, dado que no solamente descarta el
origen cardiaco del trombo, sino que además nos da información
morfológica y del potencial embolígeno que presenta el trombo.
En nuestro caso, no se completó el estudio con ETE, dado que el
paciente ya había presentado embolismos a nivel visceral y por
tanto, aportaba poca información adicional al AngioTC
1,2,5
.
En cuanto al tratamiento de esta patología, es importante re-
saltar el hecho de que no existe un consenso, y por tanto, se realiza
una individualización del mismo según cada paciente y la experien-
cia del servicio de Cirugía Vascular con uno u otro tratamiento
1,2,3,4
.
Hasta hace relativamente pocos años, el tratamiento médi-
co mediante anticoagulación, se había considerado como primera
elección. No obstante, esto presenta inconvenientes como el he-
cho de que hasta en un 20-30% de casos puedan seguir apare-
ciendo embolismos. Esto hace que algunos estudios comiencen a
Imagen 1 (a y b): Presencia de 2 trombos aórticos en AngioTC aorta
torácica.
a
b
Imagen 2: Reconstrucción de AngioTC con visualización de trombos
aórticos flotantes.
Imagen 3: : Infarto esplénico asociado a trombo flotante aórtico.