Aula de Oncología
Leucoplasia oral, una revisión de los aspectos esenciales de su diagnóstico y tratamiento
Oral leukoplakia, a review of the essential aspects of its diagnosis and treatment
Actual. Med. 2018; 103: (803): 44-46 DOI: 10.15568/am.2018.803.ao01
Enviado: 19-03-2018
Revisado: 23-03-2018
Aceptado: 26-03-2018
Leer Artículo Completo
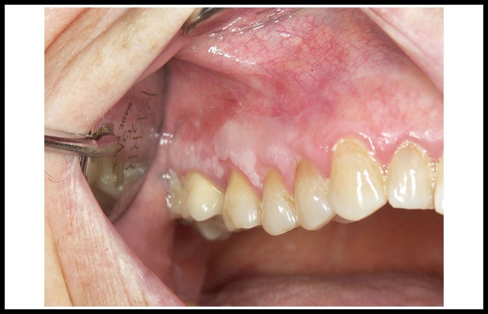
La leucoplasia oral se define como una placa blanca de la mucosa oral que no se desprende al raspado y que conlleva un riesgo de desarrollo futuro de cáncer oral (figura 1). La leucoplasia es la lesión premaligna más frecuente de la cavidad oral. Los estudios epidemiológicos señalan una prevalencia media de leucoplasia oral en el mundo que oscila entre el 1% y el 5% de la población, aunque estas cifras se elevan considerablemente en los países del sudeste asiático y singularmente en la India. Para España y otros países desarrollados de nuestro entorno, probablemente es más razonable aceptar una prevalencia del 0.5%.
Figura 1. leucoplasia oral homogénea localizada en la encía superior
El principal factor etiológico de la leucoplasia oral es el consumo de tabaco en sus diferentes formas y variedades. Muchos aspectos clínicos y pronósticos de la leucoplasia dependen del consumo de tabaco. Sabemos que los fumadores tienen 7 veces más riesgo que los no fumadores de desarrollar leucoplasias, y que este aumenta progresivamente en relación a la cantidad de tabaco consumido y a la antigüedad del hábito. Los fumadores desarrollan leucoplasias que se localizan fundamentalmente en el suelo de la boca, en contraposición a los pacientes no fumadores que las desarrolla sobre todo en el borde lateral de la lengua. Un apoyo adicional a la importancia del consumo de tabaco como factor etiológico de la leucoplasia viene dado por el hecho de la regresión o desaparición de la mayoría de las lesiones después del abandono del hábito. Así, hoy sabemos que entre el 30% y 56% de las lesiones desaparecen después de 3 meses de abstinencia, cifra que se eleva al 78 % después de un año sin consumir tabaco. El consumo de alcohol también se ha considerado clásicamente como un factor de riesgo independiente para el desarrollo de leucoplasia, lo que probablemente se relaciona con el incremento de la solubilidad de los carcinógenos y la atrofia de la mucosa oral producidas por el alcohol, con los agentes mutagénicos que se generan en en su metabolismo (acetaldehído) y con la disminución la capacidad de reparación del ADN asociada al consumo de alcohol. Cualquier bebida alcohólica incrementa el riesgo, siendo la cantidad de etanol ingerida el factor determinante en la aparición de la lesión. Así, tal y como se ha comunicado recientemente, el tipo de bebida que con más frecuencia se consume en una población dada es la que con más probabilidad se asocia al desarrollo de leucoplasia en esa población. Debe resaltarse la extraordinaria potenciación del riesgo que se produce con el consumo combinado de tabaco y alcohol. La infección crónica por Candida albicans también ha sido señalada como un agente etiológico de leucoplasia, especialmente en las formas que se localizan en la mucosa oral retrocomisural. También algunos estudios han señalado que aproximadamente un 22% de las leucoplasia orales albergan ADN de papilomavirus humanos, sobre todo del tipo 18, aunque se le ha atribuido un papel poco relevante en el proceso multipaso de la transformación maligna de la leucoplasia oral. Finalmente, algunas leucoplasias no se relacionan claramente con factores etiológicos conocidos. Estas formas idiopáticas de leucoplasia son considerablemente menos frecuentes que las asociadas al consumo de tabaco.
La leucoplasia oral aparecen con una frecuencia algo superior en hombres (6/4), en edades comprendidas entre los 40 y 60 años. Desde el punto de vista clínico, una clasificación clásica considera 4 tipos esenciales der leucoplasia que tienen una correspondencia pronóstica. Las formas homogéneas son placas homogéneamente blancas que pueden presentar pliegues más o menos profundos (figura 1). Las leucoplasias no homogéneas integran a su vez tres subtipos: Las denominadas leucoplasia nodulares retrocomisurales, frecuentemente infectadas por Candida albicans (figura 2); las eritrolecucoplasias, que asocian áreas blancas y rojas (figura 3); y las leucoplasia verrugosas, que presentan una superficie verrugosa con aspecto parecido al de una coliflor (figura 4). Un tipo clínico especial, no incluido en la clasificación precedente, está constituido por la leucoplasia verrugosa proliferativa. Se trata de una lesión blanca que aparece en mujeres de edad avanzada, no fumadoras ni bebedoras, inicialmente limitada, aunque progresivamente expansiva afectando a zonas amplias de la mucosa oral, especialmente la encía y el paladar, y asociada a un riesgo muy elevado de desarrollo tumoral múltiple de cavidad oral (figura 5).
Figura 2. leucoplasia nodular retrocomisural
Figura 3. eritroleucoplasia del dorso de la lengua. Obsérvese la asociación de áreas rojas y blancas.
Figura 4. leucoplasia verrugosa. Aspecto superficial de la lesión parecido al de una coliflor.
Figura 5. leucoplasia verrugosa proliferativa
El análisis histológico de la leucoplasia oral demuestra que la mayoría de los casos (80%) presentan hiperplasia epitelial, lo que hace referencia a un aumento del número de células en un epitelio sin atipia que mantiene un patrón estructural y madurativo normal. El resto de las leucoplasias (20%) desarrollan displasia epitelial, concepto que hace referencia a un disturbio de la maduración epitelial con atipia citológica. Habitualmente las displasias epiteliales orales son catalogadas como leves, moderadas y severas.
La principal complicación de la leucoplasia oral es su evolución a cáncer. Esto ha sido demostrado claramente en amplios estudios de seguimiento (figura 6), estimándose que aproximadamente el 50 % de los carcinomas orales aparecen como consecuencia de la transformación maligna de leucoplasias. Aunque existe una amplia variedad de datos relativos a la tasa de malignización de la leucoplasia oral, parece razonable asumir que el 1% de los pacientes con leucoplasia desarrollarán un cáncer oral cada año. Existen una serie de factores clínicos, histopatológicos y moleculares que incrementan el riesgo de desarrollo de cáncer sobre leucoplasias orales. Entre los factores clínicos asociados al riesgo de cáncer se encuentran la edad avanzada, la evolución prolongada (leucoplasias antiguas), el sexo femenino, la localización en el borde lateral de la lengua y suelo de la boca, las formas clínicas no homogéneas, el tamaño de la lesión (leucoplasias grandes) y la ausencia de factores etiológicos (leucoplasias idiopáticas). El borde lateral de la lengua y el suelo de la boca son las localizaciones más estrechamente asociadas al desarrollo de cáncer sobre leucoplasia. Debe destacarse también el elevado riesgo de transformación maligna de la leucoplasia verrugosa proliferativa, en la que se ha demostrado una tasa de transformación maligna superior al 50 % de los casos y un elevado riesgo de desarrollo tumoral múltiple. La presencia de displasia epitelial constituye actualmente la herramienta Gold standar para evaluar el riesgo de malignización. En este sentido se acepta que la tasa de transformación maligna se eleva al 40 % de las lesiones que presentan displasia epitelial severa. Finalmente, entre los factores moleculares predictores de evolución a cáncer destaca la pérdida de heterocigosidad en los loci cromosómicos 3p y 9p.
Figura 6: transformación maligna de una leucoplasia oral localizada en el borde lateral de la lengua.
El objetivo esencial del tratamiento de la leucoplasia oral es la disminución de su tasa de transformación maligna y el diagnóstico precoz de los cánceres que aparezcan sobre leucoplasias orales. La historia clínica debe determinar los factores etiológicos asociados. Los pacientes deben ser claramente informados de que padecen una lesión precancerosa y de la relación existente entre el consumo de tabaco y alcohol con el desarrollo de leucoplasia. Es determinante conseguir que el enfermo abandone estos hábitos. Solo con ello se resolverán más del 70 % de las lesiones asociadas al consumo de tabaco. Las leucoplasias no relacionadas con hábitos de riesgo y las lesiones idiopáticas deben ser biopsiadas con el objetivo de confirmar el diagnóstico y de evaluar la presencia de displasia epitelial. El procedimiento terapéutico primordial en la leucoplasia oral debe ser la escisión quirúrgica completa de la lesión, lo que resulta primordial en las leucoplasias que presentan displasia epitelial severa. No obstante, la ubicación anatómica o el tamaño de excesivo frecuentemente limitan su exéresis. Las leucoplasia orales tratadas quirúrgicamente frecuentemente recidivan. Esta complicación plantea problemas dudas en cuanto al tratamiento de estas lesiones recurrentes ya que algunos estudios han reportado un incremento de la incidencia de cáncer en lesiones que han sido tratadas reiteradamente con cirugía. En cualquier caso, es imperativo el seguimiento prolongado de los pacientes con leucoplasia oral en el manejo de estos enfermos. No hay un acuerdo absoluto en cuanto a la frecuencia de las visitas en el seguimiento. Se estima que un seguimiento anual puede ser adecuado, advirtiendo al paciente de la necesidad de solicitar un adelanto de la consulta en caso de modificaciones de la lesión (engrosamiento, sangrado, ulceración, incremento de tamaño…).
BIBLIOGRAFÍA
- Villa A, Sonis S. Oral leukoplakia remains a challenging condition. Oral Dis. 2018 Mar;24(1-2):179-183. doi: 10.1111/odi.12781.
- Speight PM, Khurram SA, Kujan O. Oral potentially malignant disorders: risk of progression to malignancy. Oral Surg Oral Med Oral Pathol Oral Radiol. 2017 Dec 29. pii: S2212-4403(17)31248-8. doi: 10.1016/j.oooo.2017.12.011.
- Staines K, Rogers H. Oral leukoplakia and proliferative verrucous leukoplakia: a review for dental practitioners. Br Dent J. 2017 Dec;223(9):655-661. doi: 10.1038/sj.bdj.2017.881.
INFORMACIÓN DEL ARTÍCULO
Autor para la correspondencia: Miguel Ángel González Moles. Facultad de Odontología, Universidad de Granada. Correo: magonzal@ugr.es







